About Us
Welcome to Mehta Dental Clinic, where your healthy and beautiful smile is our top priority. Led by Dr. Purav Mehta and Dr. Siddhi Mehta, we bring over a decade of experience in providing advanced dental care with a personal touch like a family. From routine dental check-ups to specialized treatments, we ensure every patient receives high-end, painless, comfortable and reliable dental solutions under one roof.
Best Dental Center in UAE, established with a commitment to excellence in dental care, offers a wide range of specialized services. Our mission is to make high-quality dental care accessible to everyone, ensuring the most advanced treatments at affordable prices. With a team of experienced professionals and state-of-the-art technology, we provide personalized care in a comfortable and welcoming environment, setting new standards in the region’s dental healthcare.
- Same-Day Treatment
- Holistic Patient Experience
- Sustainability in Dentistry
Comprehensive Dental Care Tailored for Every Smile
Aesthetic Procedures
Gentle treatments for clearer skin, even tone, and lasting smoothness.
Clinical Dermatology
Medical diagnosis & treatment for skin, hair, & nail conditions by expert dermatologists.
Hair Transplant
Advanced hair restoration using precise, natural-looking transplant techniques.
Advanced Laser Treatments
Advanced laser care for smoother skin, fewer blemishes, and a radiant glow.
World class treatments and equipments
Philips Zoom
Philips Zoom, the most requested professional whitening brand is clinically proven to whiten teeth up to eight shades.
Philips Zoom
Philips Zoom, the most requested professional whitening brand is clinically proven to whiten teeth up to eight shades.
Philips Zoom
Philips Zoom, the most requested professional whitening brand is clinically proven to whiten teeth up to eight shades.
Philips Zoom
Philips Zoom, the most requested professional whitening brand is clinically proven to whiten teeth up to eight shades.
Everything you need to
know about dental care
We are committed to guiding our patients with clear answers, honest care, and ensuring they never walk away disappointed.
What are the best ways to improve my smile?
Improving your smile may include teeth whitening, orthodontic treatments, veneers, or cosmetic dentistry based on your needs.
How can I get a smile makeover and be sure I will love the results?
A consultation, digital smile design, and personalized treatment plan ensure predictable and satisfying results.
What is orthodontic treatment and why is it important?
Orthodontic treatment aligns teeth and jaws, improving both oral health and appearance.
What is the role of a dental clinic in treating bad breath and bleeding gums?
Professional cleaning, gum treatment, and diagnosis of underlying issues help eliminate these problems effectively.
How do I choose the best dental clinic in Hyderabad for my oral care needs?
Look for experienced doctors, advanced technology, hygiene standards, and genuine patient reviews.
Don't Let Your Oral Health
Take a Backseat!
Book an Appointment
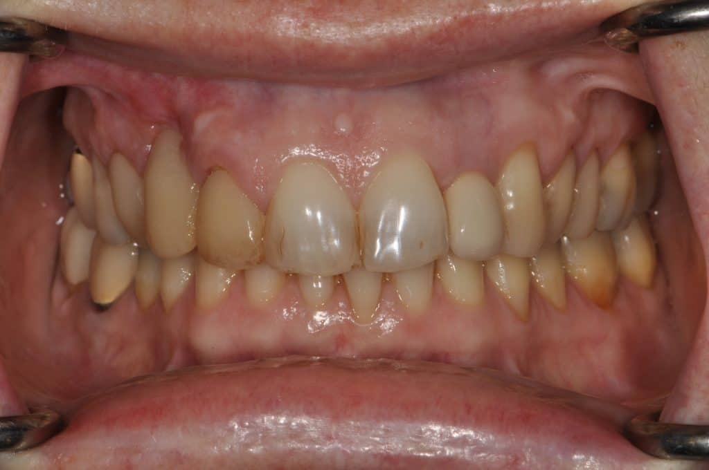
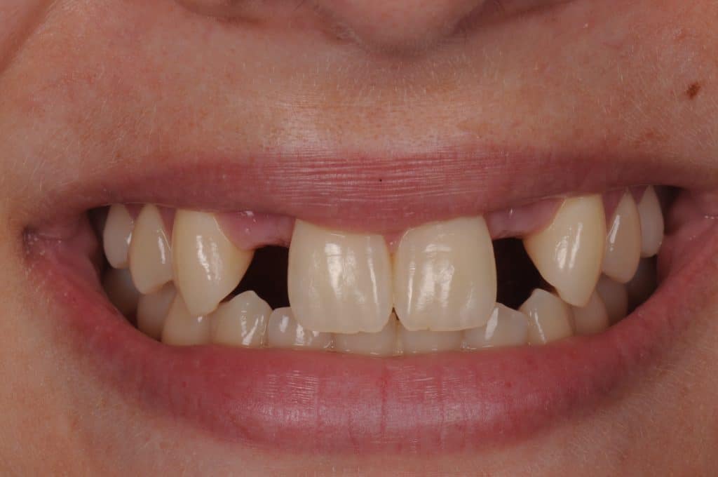
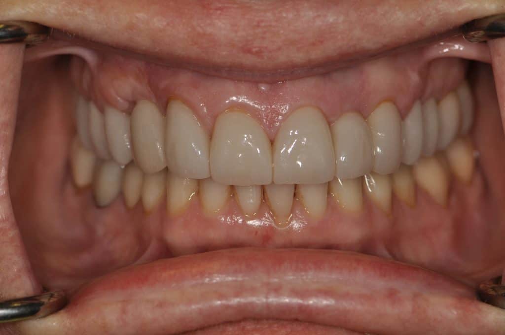
Before & After: Real Smiles. Real Results.